
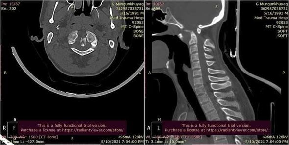
Гэмтэл Согог Судлалын Үндэсний Төвийн зөвлөх эмч Ж.Оюунтөгс, Л.Бат-Эрдэнэ тасгийн эрхлэгчтэй, Б.Баттөгс ахлагчтай Хүзүү Нурууны Гэмтэл Согогийн тасгийн хамт олон Монголд анх удаа хүзүүний нугалмын хугарал мултралыг арын хүрцээр дагз ястай хамт бэхлэх мэс заслыг амжилттай хийлээ.





















































Сэтгэгдэл (2)